ImageChecker™ 2D CAD Technology

Computer Aided Detection (CAD) solution for multiple 2D mammography datasets.

Information for Healthcare Professionals

Technician and healthcare professional looking at computer aided 2D mammography datasets and scans

    Overview

    Documents

    A Flexible, Compatible Detection Solution1

    In a constantly changing clinical mammography environment, the flexibility and compatibility of ImageChecker 2D CAD Technology provides detection for conventional 2D images, as well as C-View™ and Intelligent 2D™ synthesised images derived from a tomosynthesis dataset.

    Easy Navigation & Detection Features

    Advanced anatomic correlation technology analyses corresponding findings in the contralateral breast and different views of the same breast.

    Flexible Solution

    Your site can select up to 3 sensitivity settings, or operating points, depending on what best suits the practice’s needs. A region will be marked only if the ranking falls above a chosen operating point.

    Cost Effective Architecture

    Integrated on the Dimensions® acquisition workstation, this technology allows you to review images at the point of care and eliminates the need for a separate server.

    Illustration of Hologic Breast Health Continuum of Care with Radiology

    Unlock the Advantage of Time

    The Breast Health Continuum of Care offers integrated solutions for clinical confidence, workflow efficiency and compassionate patient care. It is our purpose to give more women more time in better health.

    ImageChecker 2D CAD Technology is part of the Hologic Screening & Diagnosis Solution.

    Highly Sensitive Results

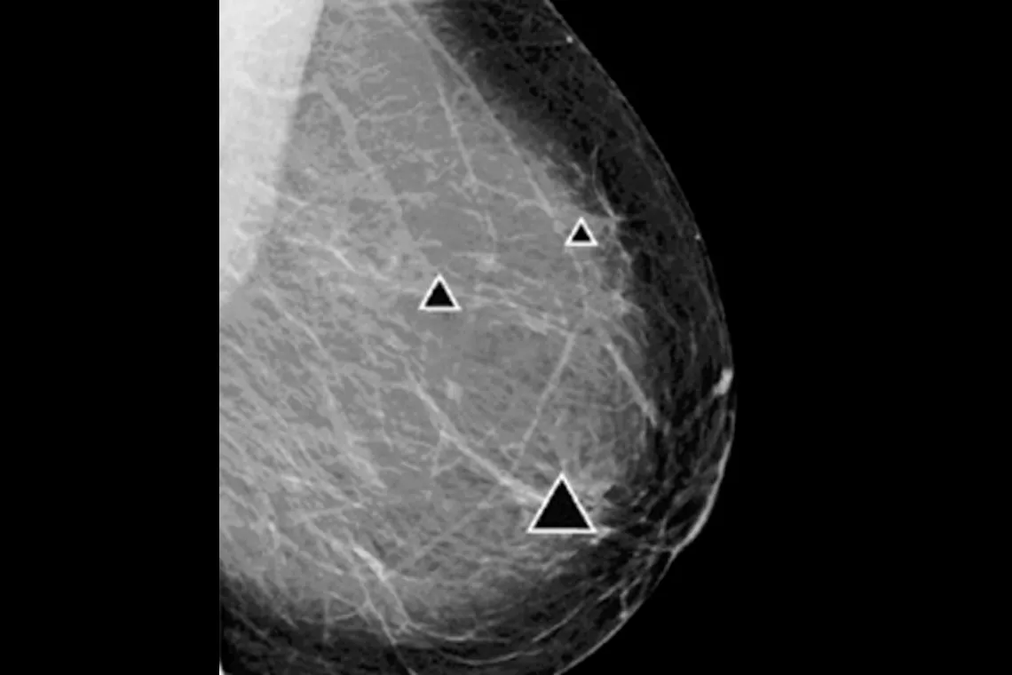
    ImageChecker 2D CAD Technology searches digital mammograms for potential microcalcifications and masses, characteristics commonly associated with breast cancer.

    • Regions-of-interest are highlighted for the radiologist’s attention
    • Delivers highly sensitive results without excessive false-positive marks, streamlining case review2
    • Easy navigation to the slice of interest in the tomosynthesis stack, when used in combination with Smart Mapping on synthesized 2D images
    Digital mammography with peer emphasize marks

    Hologic AI-powered Integrated Software Solutions

    Our products are designed to work together and can be customised to your needs. Discuss your clinical needs with our experienced team to find the best solution that suits you. Browse the relevant options below.

    Image Gallery3

    Insights

    Radiographers reviewing tomosynthesis mammography on a screen Radiographers reviewing tomosynthesis mammography on a screen

    ToSyMa Study Results, a 3D Future for Breast Cancer Screening

    Woman looking down at a tablet screen. Woman looking down at a tablet screen.

    The Future of Breast Cancer, from Detection to Treatment

    Female patient waiting Female patient waiting

    Global Insight: Transforming Women's Healthcare with AI

      1. Data on File: CSR-00116 Rev 004
      2. User manual MAN-02002 Rev 002- section 1.6
      3. These features can be viewed on a Hologic® workstation† and are included in the ImageChecker® CAD license group. *ImageChecker® 2D CAD Technology operates on the 3Dimensions™ or Dimensions® AWS systems with software version 2.1/1.10.

      Safety Data Sheets

      Package Inserts

      2797

      Hologic BV, Da Vincilaan 5, 1930 Zaventem, Belgium.

      Notified Body number wherever applicable